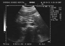
B超BUS检查
 B超BUS检查具有无创、安全、快速、廉价及重复性好的特点,常作为首检查方法,并具有筛选价值,B超是诊断的首选方法。主要图像特征有以下几点: (1)多数患者有
胆囊结石,结石位于胆囊或胆囊颈部,胆囊壁增厚,胆囊可见扩张、萎缩或胆囊大小正常。
 (2)
胆囊管开口上方的肝总管、肝内胆管扩张或不扩张。
 (3)胆总管直径大小正常。
 Joseph描述胆总管直径正常,可见到扩张的
胆囊管、肝总管及
门静脉,即所谓的“三管征”(triplechannelsign)。 见到“三管征”应考虑为硬化性
胆管炎,但是临床上很少见到“三管征”。何效东等报道32例中23例行B超检查,仅有2例出现“三管征”。肝总管狭窄及
胆囊胆管瘘患者,由于患者的
胆囊萎缩,显像不佳,再加之胆总管显示不清,较难判断。Ⅰ型嵌顿
结石均容易显示。文献认为凡是临床有反复发作的
胆管炎、梗阻性
黄疸而超声显示胆囊颈或
胆囊管结石,胆囊壁增厚的患者,特别是BUS诊断同时发现肝总管及
肝内胆管扩张而胆总管不扩张者应高度怀疑本病的可能。
内镜逆行胰胆管造影
 内镜逆行胰
胆管造影(endoscopicretrogradecholangiopancreatography,ERCP)患者口服
胆囊造影剂多不显影,ERCP作为直接胆道造影的方法之一,是颇具诊断价值的检查方法。文献认为ERCP表现为:
 (1)肝总管处可见边缘光滑的圆形充盈缺损影,有人称之为“反C征”,此充盈缺损以上的肝总管及肝内
胆管显著扩张,缺损以下的胆总管轻度扩张或正常,偶见肝总管被牵拉移位与胆总管形成“<”状,是因为
胆囊向心性萎缩所致。
 (2)本征Ⅰ型肝内外
胆管轻到中度扩张,Ⅱ、Ⅲ型中到重度扩张,以肝总管及肝内胆管扩张为著,完全梗阻者上段不显影。
 (3)
胆囊萎缩,有部分患者胆囊不显影,
胆囊管明显扩张伴
结石影,胆囊
胆管之间出现交通阴影时,表示有内瘘存在。
 (4)部分患者合并胆总管结石。
 (5)部分患者胆总管下端炎性狭窄或
结石梗阻致排空不畅,
胆管不显影或显影不良。
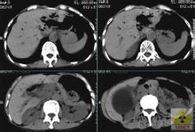
CT检查
 CT(computerizedtomography)CT能较好地显示含钙
结石及
肝门区的解剖关系,可提示此综合征与其他疾病鉴别诊断的征象。
CT主要表现为:
胆囊颈增宽;
胆囊外的含钙
结石;靠近
胆囊有一个不规则的囊腔;胰腺段以上
胆管梗阻征象。
肝门区多囊多管征和肝门区扩张的
胆管壁增厚以及肝门区各结构之间的脂肪间隙显示模糊和消失征象,后者是由于胆囊颈或
胆囊管嵌顿
结石引起胆囊管扩张、扭曲和胆囊周围炎的表现。如CT未显示含钙
结石,但有胰上段的
胆管扩张、增厚、
肝门区脂肪间隙显示不清及消失,也应考虑此综合征的可能。但应与肿瘤及其他疾病引起的类似征象鉴别。由于CT横断面的限制,常不能显示胆囊颈/管
结石嵌顿压迫肝总管的直接征象,与超声相比并无更多优势,但随着螺旋CT三维重建技术的开发及在胆
 
  
   
    
   硬化性胆管炎
   
 系疾病中的应用,在此综合征的诊断中具有一定的潜力。
磁共振胰胆管造影
 磁共振胰
胆管造影(MRcholangiopancreatography,MRCP)MRCP作为MR水成像技术的临床应用新进展之一,已被广泛应用于各种胆胰管病变的临床诊断,具有无创伤性,安全简便,不需要造影剂和X线照射,三维重建图像类似于直接胆胰管造影片,并可多方位旋转、多角度观察等优点。影像表现与ERCP表现相似,表现为肝内胆管扩张,肝总管狭窄,
结石嵌顿,梗阻水平一般在
胆囊管。由于它可观察胆系周围组织结构和解剖形态,可与其他疾病相鉴别,且非侵袭性,将取代ERCF及PTC。
实验室检查
 实验室检查
肝功能异常,如
血清胆红素、AST、AKP升高,B超表现萎缩性胆囊、“三管征”或ERCP、MRCP上见到
胆囊管过长或胆囊管与肝总管并行,“反C征”要高度怀疑硬化性
胆管炎。
 Redaelli等报道1759例
胆囊切除术,诊断
Mirizzi综合征有18例,其中发现并发
胆囊癌5例,占27.8%,而在单纯胆
结石手术中,并发胆囊癌的不足2%,二者之间有显著差异,同时在18例中
 
  
   
    
   硬化性胆管炎
   
 肿瘤相关抗原CAl99高于正常有12例,而5例并发
胆囊癌的病例更是明显增高。由此表明,硬化性
胆管炎与肿瘤恶变有某种关联,其原因是胆囊
结石长期慢性刺激导致
黏膜增生、变性而发生
癌变。因此,术前诊断或术中胆囊
冰冻切片是重要的。1982年Mcsherry等依据ERCP表现为2型:Ⅰ型为结石嵌顿在
胆囊管/颈部外压肝总管而引起
黄疸;Ⅱ型为结石部分或全部破溃入肝总管形成胆囊肝总管瘘。其中Ⅰ型又进一步分为2个亚型:ⅠA型为
胆囊管与肝总管平行,
胆囊管长度>3cm;ⅠB型为
胆囊管被完全阻塞。Ⅱ型分为ⅡA和ⅡB型:ⅡA型为
胆管瘘呈开放性;ⅡB型因
结石嵌顿在瘘口处形成假胆瘘,术中取石后才发现瘘口。1989年Csendes等根据有否
胆囊胆管瘘及内瘘造成胆管壁损伤的程度分4型:Ⅰ型为胆囊管或颈
结石嵌顿压迫肝总管;Ⅱ型为胆囊胆管瘘形成,瘘管口径<胆总管周径的1/3;Ⅲ型为胆囊胆管瘘形成,瘘管口径>胆总管周径的2/3;Ⅳ型为胆囊胆管瘘完全破坏了胆总管壁。但England等认为术前通过胆道造影不可能测定瘘的大小,提出Csendes分型的实际意义不大。1997年Nagakawa等从诊断和治疗角度出发,分为以下4型:Ⅰ型,
胆囊颈、胆囊管嵌顿
结石引起肝总管狭窄;Ⅱ型,胆囊管、胆囊颈嵌顿结石,形成胆囊肝总管瘘;Ⅲ型,由于三管合流处结石引起肝总管狭窄;Ⅳ型,胆囊管、胆囊颈无结石嵌顿,而由
胆囊炎引起肝总管狭窄。